Attività fisica e fratture costali da stress

Le fratture costali da stress si verificano quando una o più costole si rompono in seguito a una forza ripetitiva applicata durante l’attività fisica. In questi casi, la forza è inferiore alla capacità di resistenza dell’osso.
Ciò significa che il tessuto viene distrutto non da un singolo trauma diretto, ma dalla ripetizione di piccoli traumi che colpiscono con costanza sempre lo stesso punto. La frattura si verifica quando viene penetrata l’elasticità delle cellule.
Perché si verificano le fratture costali da stress
Il meccanismo per cui le costole si fratturano in seguito alla sollecitazione da attività fisica è la fatica. È un termine difficile da descrivere perché non indica la stanchezza nel senso più ampio, quella che proviamo quando siamo esausti.
La fatica dei tessuti ossei è legata alla ripetizione con cui devono sopportare i carichi. Pensiamo a un kayakista che tutti i giorni si allena a pagaiare con lo stesso movimento. Le sue costole sono continuamente schiacciate dai muscoli del torace, fino a quando non sopportano più l’insistenza di questa forza.
In condizioni normali, un piccolo trauma può essere riparato in breve tempo dalle cellule. Nelle fratture costali da stress, però, non c’è il tempo per la guarigione e la fessura penetra sempre più in profondità nell’osso. Una volta raggiunto il punto di taglio, la lesione diventa evidente.
Secondo uno studio pubblicato dalla Revista Internacional de Ciencias Podológicas, il modo in cui la frattura si propaga è diverso da quello delle comuni fratture da trauma singolo. Le costole iniziano a rompersi in modo perpendicolare, per poi prendere una direzione parallela al bordo dell’osso.

Sintomi delle fratture costali da stress
Il dolore è il segno più caratteristico di una frattura delle costole. Nel caso delle fratture causate da fatica cronica, è possibile che il fastidio si sviluppi lentamente, in modo insidioso, senza essere acuto.
Il dolore aumenta durante i movimenti respiratori profondi. Nella respirazione, soprattutto quando si inspira, l’asse costale si scompone e si prova fastidio o dolore. Di solito è un dolore localizzato e non si irradia ad altre parti, ma se vengono schiacciati dei nervi può arrivare allo sterno o alla spalla.
L’infiammazione è variabile: alcuni atleti notano un rigonfiamento nella zona della frattura, mentre altri percepiscono solo il dolore. In caso di accumulo di liquido, è possibile che la pelle cambi colore e che si formi un ematoma sulla costola coinvolta.
L’ematoma è sempre presente, con dimensioni variabili, se la frattura costale da stress causa uno strappo muscolare o viceversa. La situazione di un pugile non è la stessa del kayakista. E non c’entrano nemmeno i lividi causati da tecniche sbagliate durante un allenamento con i pesi.
Fattori di rischio di questa patologia
Ci sono diverse situazioni e fattori di rischio che favoriscono la comparsa di fratture da stress. Secondo una pubblicazione della Revista de la Asociación Argentina de Traumatologia del Deporte, la lesione è quasi sempre classificata come di basso grado, con poca probabilità di evolversi in forme gravi. È possibile, quindi, che si risolva con il riposo.
Conoscere questi fattori è importante per una prevenzione adeguata. I più rilevanti sono i seguenti:
- Postura e tecniche sbagliate: alcuni sport seguono un metodo specifico e provato per evitare lesioni. Se l’atleta non rispetta questi movimenti e modalità, il rischio di lesioni è più alto.
- Condizioni di bassa densità ossea: le persone che soffrono di osteopenia od osteoporosi hanno una densità ossea inferiore, per cui il calcio e la trama del tessuto sono carenti. In queste situazioni, è logico che lo stress a cui sono sottoposte possa fratturare le costole.
- Sovrasforzo da ripetizione: se l’atleta ripete sempre lo stesso allenamento senza regolare il peso e la forza, è possibile che sovraccarichi parti del corpo. Per questo ci sono modelli progressivi di attività fisica e la conoscenza degli allenatori come guida nella preparazione.

Cosa fare in caso di frattura costale da stress?
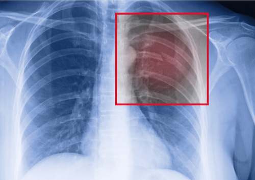
Se siete degli sportivi e soffrite di una frattura costale da stress, prima di tutto dovete consultare un medico. Vi faranno una radiografia del torace per confermare la lesione e valutarne l’estensione.
Il secondo passo fondamentale è ridurre l’attività fisica o sospenderla, in modo che la costola possa guarire. È possibile prendere degli analgesici e degli antinfiammatori per gestire i sintomi. In base alla gravità, può servire una fasciatura per aiutare a stabilizzare la frattura.
Infine, non resta che pianificare una riabilitazione che includa la fisioterapia – molto importante secondo la letteratura scientifica sul tema – ed esercizi di rafforzamento dei muscoli del torace per evitare ricadute quando si torna a praticare sport. La chirurgia è riservata a casi molto gravi in cui si sposta l’asse toracico.
Le fratture costali da stress si verificano quando una o più costole si rompono in seguito a una forza ripetitiva applicata durante l’attività fisica. In questi casi, la forza è inferiore alla capacità di resistenza dell’osso.
Ciò significa che il tessuto viene distrutto non da un singolo trauma diretto, ma dalla ripetizione di piccoli traumi che colpiscono con costanza sempre lo stesso punto. La frattura si verifica quando viene penetrata l’elasticità delle cellule.
Perché si verificano le fratture costali da stress
Il meccanismo per cui le costole si fratturano in seguito alla sollecitazione da attività fisica è la fatica. È un termine difficile da descrivere perché non indica la stanchezza nel senso più ampio, quella che proviamo quando siamo esausti.
La fatica dei tessuti ossei è legata alla ripetizione con cui devono sopportare i carichi. Pensiamo a un kayakista che tutti i giorni si allena a pagaiare con lo stesso movimento. Le sue costole sono continuamente schiacciate dai muscoli del torace, fino a quando non sopportano più l’insistenza di questa forza.
In condizioni normali, un piccolo trauma può essere riparato in breve tempo dalle cellule. Nelle fratture costali da stress, però, non c’è il tempo per la guarigione e la fessura penetra sempre più in profondità nell’osso. Una volta raggiunto il punto di taglio, la lesione diventa evidente.
Secondo uno studio pubblicato dalla Revista Internacional de Ciencias Podológicas, il modo in cui la frattura si propaga è diverso da quello delle comuni fratture da trauma singolo. Le costole iniziano a rompersi in modo perpendicolare, per poi prendere una direzione parallela al bordo dell’osso.

Sintomi delle fratture costali da stress
Il dolore è il segno più caratteristico di una frattura delle costole. Nel caso delle fratture causate da fatica cronica, è possibile che il fastidio si sviluppi lentamente, in modo insidioso, senza essere acuto.
Il dolore aumenta durante i movimenti respiratori profondi. Nella respirazione, soprattutto quando si inspira, l’asse costale si scompone e si prova fastidio o dolore. Di solito è un dolore localizzato e non si irradia ad altre parti, ma se vengono schiacciati dei nervi può arrivare allo sterno o alla spalla.
L’infiammazione è variabile: alcuni atleti notano un rigonfiamento nella zona della frattura, mentre altri percepiscono solo il dolore. In caso di accumulo di liquido, è possibile che la pelle cambi colore e che si formi un ematoma sulla costola coinvolta.
L’ematoma è sempre presente, con dimensioni variabili, se la frattura costale da stress causa uno strappo muscolare o viceversa. La situazione di un pugile non è la stessa del kayakista. E non c’entrano nemmeno i lividi causati da tecniche sbagliate durante un allenamento con i pesi.
Fattori di rischio di questa patologia
Ci sono diverse situazioni e fattori di rischio che favoriscono la comparsa di fratture da stress. Secondo una pubblicazione della Revista de la Asociación Argentina de Traumatologia del Deporte, la lesione è quasi sempre classificata come di basso grado, con poca probabilità di evolversi in forme gravi. È possibile, quindi, che si risolva con il riposo.
Conoscere questi fattori è importante per una prevenzione adeguata. I più rilevanti sono i seguenti:
- Postura e tecniche sbagliate: alcuni sport seguono un metodo specifico e provato per evitare lesioni. Se l’atleta non rispetta questi movimenti e modalità, il rischio di lesioni è più alto.
- Condizioni di bassa densità ossea: le persone che soffrono di osteopenia od osteoporosi hanno una densità ossea inferiore, per cui il calcio e la trama del tessuto sono carenti. In queste situazioni, è logico che lo stress a cui sono sottoposte possa fratturare le costole.
- Sovrasforzo da ripetizione: se l’atleta ripete sempre lo stesso allenamento senza regolare il peso e la forza, è possibile che sovraccarichi parti del corpo. Per questo ci sono modelli progressivi di attività fisica e la conoscenza degli allenatori come guida nella preparazione.

Cosa fare in caso di frattura costale da stress?
Se siete degli sportivi e soffrite di una frattura costale da stress, prima di tutto dovete consultare un medico. Vi faranno una radiografia del torace per confermare la lesione e valutarne l’estensione.
Il secondo passo fondamentale è ridurre l’attività fisica o sospenderla, in modo che la costola possa guarire. È possibile prendere degli analgesici e degli antinfiammatori per gestire i sintomi. In base alla gravità, può servire una fasciatura per aiutare a stabilizzare la frattura.
Infine, non resta che pianificare una riabilitazione che includa la fisioterapia – molto importante secondo la letteratura scientifica sul tema – ed esercizi di rafforzamento dei muscoli del torace per evitare ricadute quando si torna a praticare sport. La chirurgia è riservata a casi molto gravi in cui si sposta l’asse toracico.
Tutte le fonti citate sono state esaminate a fondo dal nostro team per garantirne la qualità, l'affidabilità, l'attualità e la validità. La bibliografia di questo articolo è stata considerata affidabile e di precisione accademica o scientifica.
- Lora Veramendi, Maylin. “Tratamiento fisioterapéutico en fractura de esternón y costillas.” (2018).
- Torrengo, Federico, Vicente Paús, and Jorge Cédola. “Fracturas por estrés en deportistas.” Rev la Asoc argentina Traumatol del Deport (2010): 18-23.
- del Arco, Jessica Grande. “Fracturas de estrés en atletas.” Revista Internacional de Ciencias Podológicas 12.2 (2018): 63.
- Puyol, Sonia Galicia, et al. “Tipos de fracturas costales encontradas en traumatismos costales”. Seram (2018).
Questo testo è fornito solo a scopo informativo e non sostituisce la consultazione con un professionista. In caso di dubbi, consulta il tuo specialista.







